편평세포암 초기 증상과 종류
- 과학적 정보에 감성을 더한 건강 이야기
- 2025. 11. 1.
편평세포암 초기 증상과 종류
피부에 낯선 변화가 보일 때가 있습니다. 상처라 여겼던 자리가 낫지 않고 딱지가 반복되거나, 피부가 조금씩 울퉁불퉁해지는 느낌이 든다면 그저 작은 이상으로 넘기지 말아야 합니다. 편평세포암 초기 증상은 그렇게 조용히, 그러나 꾸준히 다가옵니다.

이 암은 우리 몸의 ‘편평상피세포(납작한 형태의 보호세포)’에서 시작됩니다. 이 세포들은 피부뿐 아니라 입안, 폐, 식도, 자궁경부 등 다양한 부위의 표면을 덮고 있어요. 따라서 편평세포암은 신체 곳곳에서 생길 수 있고, 편평세포암 종류 그 양상도 제각각입니다.
이 글에서는 편평세포암의 종류, 원인, 초기 증상부터 치료와 예후까지 한눈에 알아볼 수 있도록 정리했습니다.
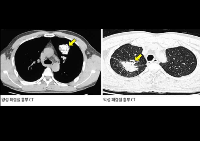
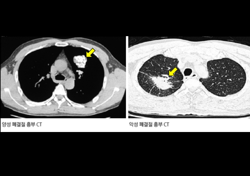
편평세포암종 종류
| 발생 부위 | 주요 원인 | 주요 증상 | 특징 |
|---|---|---|---|
| 피부 | 자외선, 흉터 | 딱지, 궤양, 붉은 반점 | 햇빛 노출 부위에서 흔함 |
| 구강 | 흡연, 음주, 바이러스 | 입안 궤양, 하얀 반점 | 구내염으로 오인되기 쉬움 |
| 폐 | 흡연, 대기오염 | 기침, 피 섞인 가래 | 남성 흡연자에게 많음 |
| 자궁경부 | 인유두종바이러스 | 질출혈, 분비물 증가 | 백신으로 예방 가능 |
| 췌장 | 만성 염증, 유전 요인 | 복통, 체중 감소, 황달 | 진행 빠르고 조기진단 어려움 |


편평세포암종 종류
편평세포암종은 세포가 위치한 부위와 변형된 원인에 따라 다양한 형태로 나뉩니다. 편평세포암종 종류 피부에 생기는 경우가 가장 흔하지만, 구강·식도·폐·자궁경부·췌장 등에서도 발생할 수 있습니다. 각 부위마다 성질이 다르고 치료 방법도 달라 정확한 진단이 매우 중요합니다.
피부 편평세포암은 자외선 노출이 주요 요인입니다. 햇볕을 많이 받은 얼굴, 손등, 귀, 목 뒤 등에서 딱지나 붉은 반점이 생기며 시작합니다. 오랜 시간 햇빛에 노출되면 세포가 손상되어 돌연변이가 생기고, 그 세포가 암세포로 바뀌게 됩니다.
화상이나 오래된 상처, 만성 궤양 부위에서도 발생할 수 있습니다. 이런 곳은 세포가 반복적으로 손상되고 회복되는 과정에서 변형이 일어나 암으로 발전하기 쉽습니다. 이전에 방사선 치료를 받았던 부위나 비소(arsenic) 같은 유해 물질에 장기간 노출된 경우에도 암 발생 가능성이 높아집니다.
내부 장기에 생기는 편평세포암종은 조금 다릅니다. 편평세포암종 종류 폐에서는 흡연이 가장 큰 원인이고, 식도나 구강에서는 자극적인 음식, 알코올, 바이러스 감염 등이 영향을 줍니다. 자궁경부 편평세포암은 인유두종바이러스(HPV) 감염이 대표적인 요인입니다.


편평세포암종 원인
편평세포암의 근본적인 원인은 세포가 지속적으로 손상되고 회복되지 못하는 상태가 누적되는 데 있습니다. 그 중심에는 자외선, 흡연, 화학물질, 감염, 면역저하 등이 자리합니다.
자외선은 피부 세포의 DNA를 변형시킵니다. 농사일, 야외 근무, 등산·낚시처럼 햇빛 아래에서 오랜 시간을 보내는 분들이라면 더욱 주의해야 합니다. 자외선 차단제를 꾸준히 바르고, 모자나 긴 옷으로 피부를 보호하는 습관이 필요합니다.
흡연은 폐와 구강, 후두 부위의 세포에 직접적인 손상을 줍니다. 담배 속의 타르와 니코틴은 세포 돌연변이를 유발하며, 편평세포암뿐 아니라 여러 암의 위험을 동시에 높입니다.
방사선이나 화학물질 노출도 원인 중 하나입니다. 과거 치료 목적으로 방사선을 받은 부위는 세포가 약해져 암 발생률이 올라갑니다. 또한 산업 현장에서 비소, 크롬, 석면 등에 장기간 노출된 경우도 마찬가지로 위험이 커집니다.
바이러스 감염 역시 편평세포암 발생에 연관되어 있습니다. 인유두종바이러스(HPV)는 자궁경부암뿐 아니라 구강암, 인두암에도 영향을 미칩니다.
그리고 면역력이 떨어진 상태도 중요한 요인입니다. 장기 이식 후 면역억제제를 복용하거나, 만성 질환으로 인해 면역체계가 약해진 사람은 암 발생 가능성이 높습니다.
결국 편평세포암은 한 가지 요인으로 생기지 않습니다. 오랜 기간의 자극과 손상이 쌓이면서 세포가 비정상적으로 변형되는 것이 핵심입니다.


편평세포암종 초기 증상
편평세포암종 초기 증상에는 눈에 잘 띄지 않아 발견이 늦어지는 경우가 많습니다. 그러나 몸은 항상 신호를 보냅니다. 그 신호를 세심하게 관찰하면 조기 발견이 가능합니다. 피부의 경우 붉거나 갈색의 반점이 생기며, 딱지처럼 각질이 두꺼워지거나 사마귀 모양으로 솟아오르기도 합니다. 간혹 통증이 없지만 가렵거나 따가운 느낌이 들기도 합니다. 상처가 낫지 않고 반복적으로 터지거나 출혈이 있을 때도 의심해야 합니다.
입안에 생기는 편평세포암은 하얀색이나 붉은색 반점, 혹은 작게 돋아오른 혹으로 나타납니다. 혀, 잇몸, 입천장 등에서 통증 없이도 변화가 생길 수 있어 구내염으로 착각하기 쉽습니다. 편평세포암종 초기 증상 폐나 기관지에 발생할 경우 기침이 오래 지속되고 피 섞인 가래가 나오기도 합니다. 호흡이 짧아지고, 목소리가 변하거나 가슴이 답답한 느낌이 들면 감기라고 생각하지 말고 진료를 받아야 합니다.
편평세포암종 초기 증상은 사소해 보이지만, 이러한 변화가 몇 주 이상 이어진다면 반드시 병원 검사를 통해 원인을 확인해야 합니다. 편평세포암 초기 증상 조기에 진단하면 완치 가능성이 크게 높아집니다.
편평세포암, 부위별 증상 정리표
| 발생 부위 | 주요 원인 | 주요 증상 | 특징 |
|---|---|---|---|
| 피부 | 자외선, 흉터 | 딱지, 궤양, 붉은 반점 | 햇빛 노출 부위에서 흔함 |
| 구강 | 흡연, 음주, 바이러스 | 입안 궤양, 하얀 반점 | 구내염으로 오인되기 쉬움 |
| 폐 | 흡연, 대기오염 | 기침, 피 섞인 가래 | 남성 흡연자에게 많음 |
| 자궁경부 | 인유두종바이러스 | 질출혈, 분비물 증가 | 백신으로 예방 가능 |
| 췌장 | 만성 염증, 유전 요인 | 복통, 체중 감소, 황달 | 진행 빠르고 조기진단 어려움 |


편평세포암종 완치 가능성
편평세포암은 조기에 발견하면 높은 확률로 완치가 가능합니다. 암이 피부나 점막의 표면에 머물러 있을 때 수술로 완전히 제거하면 재발률이 매우 낮습니다.
편평세포암 초기 증상 암의 크기, 깊이, 위치에 따라 치료 성적이 달라집니다. 크기가 작고 전이가 없는 경우에는 수술만으로도 충분히 완치를 기대할 수 있습니다. 반면 암이 깊게 퍼졌거나 림프절까지 침범한 경우에는 방사선 치료나 항암치료가 병행됩니다. 예후를 결정짓는 또 하나의 요소는 암세포의 분화도입니다. 분화도가 높을수록 정상세포와 비슷해 치료 반응이 좋습니다. 반대로 분화도가 낮은 미분화세포는 성장 속도가 빠르고 재발 가능성이 높습니다.
치료 후에는 일정 주기로 추적 검사를 받아야 합니다. 암이 완전히 사라졌더라도 3년 이내에 재발하는 경우가 있기 때문입니다. 정기적인 진료는 재발을 조기에 발견하는 가장 확실한 방법입니다.


편평세포암종 보험과 제도
편평세포암은 건강보험이 적용되는 질환입니다. 조직검사, 영상검사, 수술, 방사선치료, 항암치료 등 대부분의 과정에서 보험 혜택을 받을 수 있습니다.
민간보험의 경우 진단비와 치료비 보장이 상품마다 다릅니다. 보험사마다 암의 분류 기준이 다르기 때문에, ‘피부암’ 혹은 ‘기타암’으로 분류되는 경우 보장금이 달라질 수 있습니다. 진단서에 병명과 조직형이 정확히 기재되어야 하며, 필요하다면 주치의와 상의해 병명 정정을 요청할 수도 있습니다.
또한 건강보험공단의 산정특례 제도를 활용하면 본인 부담금이 줄어듭니다. 암으로 확진되면 최대 5년간 진료비의 95%까지 지원받을 수 있습니다. 치료 과정이 길고 비용이 많이 드는 만큼 제도적 지원을 적극적으로 활용하는 것이 좋습니다.


편평세포암 치료 방법
치료의 중심은 종양을 완전히 제거하고 재발을 막는 것입니다. 수술, 방사선, 항암치료, 면역치료 등이 병합되어 사용됩니다.
가장 기본은 수술입니다. 종양을 포함한 주변 정상조직을 함께 절제하여 암세포가 남지 않도록 하는 방식입니다. 얼굴이나 목처럼 미용적인 부위의 경우에는 모즈수술이라는 정밀수술을 시행하기도 합니다. 이 수술은 현미경으로 암세포의 경계를 즉시 확인하면서 조금씩 제거해 정상조직을 최대한 보존합니다.
방사선 치료는 수술이 어렵거나 재발 위험이 높은 경우 시행됩니다. 암세포의 분열을 억제해 남은 세포를 사멸시키는 효과가 있습니다. 최근에는 기술이 발전해 주변 정상조직 손상을 줄이는 정밀 방사선 치료가 가능해졌습니다.
항암치료는 전이나 진행성 암에서 주로 사용됩니다. 세포의 성장과 복제를 차단하는 약물을 이용해 암세포의 확산을 막습니다. 면역항암제는 환자의 면역세포가 암세포를 인식하도록 도와 스스로 싸우게 하는 새로운 치료법으로, 피부 편평세포암에서 이미 사용되고 있습니다.
냉동치료나 전기소작술, 국소화학요법은 초기 단계에서 병변이 작을 때 시행할 수 있는 방법입니다. 각각의 치료법은 환자의 상태와 암의 위치에 따라 달라지므로 반드시 전문의의 진단과 상담이 필요합니다.


편평세포암종 예후
편평세포암의 예후는 전이 여부, 종양의 깊이, 발생 부위, 환자의 면역상태에 따라 달라집니다. 피부에 국한된 경우 5년 생존율이 90% 이상으로 매우 높습니다. 그러나 림프절이나 다른 장기로 전이된 경우 예후가 떨어집니다.
예후를 좋게 만들기 위해서는 조기 발견이 가장 중요합니다. 몸의 작은 변화라도 꾸준히 관찰하고, 의심되는 부위가 있다면 지체하지 말고 검사해야 합니다. 치료 후에는 자외선 차단, 금연, 영양관리, 면역력 유지 등 생활습관을 바꾸는 것이 재발 예방에 도움이 됩니다.
또한 심리적인 안정도 중요합니다. 암 진단은 누구에게나 충격이지만, 의료진과 적극적으로 소통하며 치료 계획을 함께 세우면 불안이 줄고 치료 효과도 높아집니다.


피부 편평세포암
피부 편평세포암은 햇빛이 많이 닿는 얼굴, 손, 팔, 귀에서 잘 생깁니다. 작은 반점으로 시작해 각질이 두꺼워지고, 궤양처럼 패이거나 딱지가 생기기도 합니다. 상처가 낫지 않거나 통증이 생긴다면 조기 진료가 필요합니다.
예방을 위해 자외선 차단제를 자주 바르고, 모자나 양산을 사용하는 것이 좋습니다. 또, 피부에 지속적인 자극이 가는 습관(긁기, 뜯기, 문지르기)을 줄이는 것도 도움이 됩니다.
피부 편평세포암은 조기 치료 시 완치율이 높습니다. 수술로 병변을 제거한 뒤에는 주기적으로 경과를 확인하고, 주변 피부를 함께 관리해야 합니다.


구강 편평세포암
구강 편평세포암은 입속 점막, 혀, 입술에서 발생합니다. 편평세포암 초기 증상에는 통증이 거의 없어 염증이나 구내염으로 오해하기 쉽습니다. 혀나 잇몸에 하얀색 또는 붉은색 반점이 생기거나, 거칠고 두꺼워진 부위가 있다면 검사가 필요합니다.
흡연과 음주는 구강 점막을 자극해 세포 손상을 일으킵니다. 구강 위생을 청결히 유지하고, 자극적인 음식 섭취를 줄이는 것이 예방의 첫걸음입니다. 정기적인 치과 검진을 통해 조기에 발견하면 치료 성적이 높습니다.
치료는 수술로 병변을 제거하고, 필요에 따라 방사선이나 항암치료를 병행합니다. 말하거나 음식을 씹는 기능에 영향을 줄 수 있으므로 재활치료를 함께 진행하기도 합니다.


췌장 편평세포암
췌장 편평세포암은 매우 드문 형태로, 일반적인 췌장암보다 진단이 늦어지는 경향이 있습니다. 편평세포암 초기 증상 상복부 통증, 체중감소, 황달 등이 나타나지만 다른 소화기 질환으로 착각하기 쉽습니다.
췌장 깊숙한 곳에 위치하기 때문에 발견 시 이미 진행된 경우가 많습니다. 정확한 진단을 위해서는 CT, MRI, 내시경초음파검사와 조직검사가 필요합니다. 치료는 수술이 가능할 때는 절제가 우선이며, 불가능한 경우 항암치료나 방사선치료로 병의 진행을 억제합니다. 조기 발견이 어렵기 때문에 가족력이나 만성 췌장염이 있는 사람은 정기검사를 권장합니다.
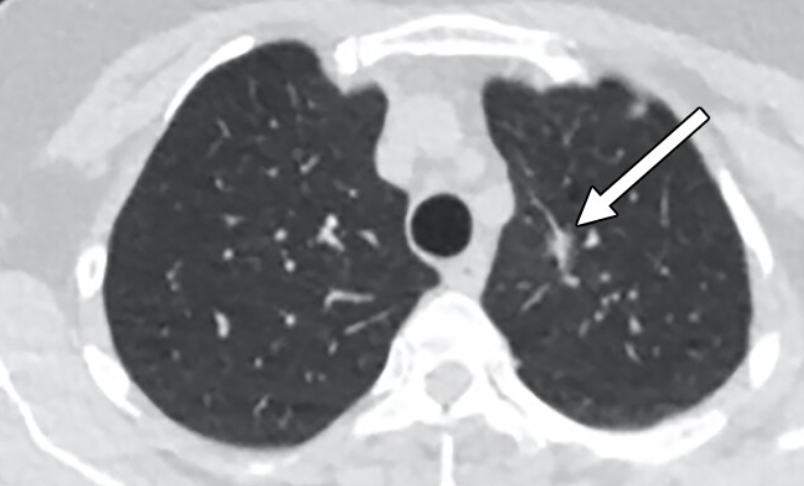
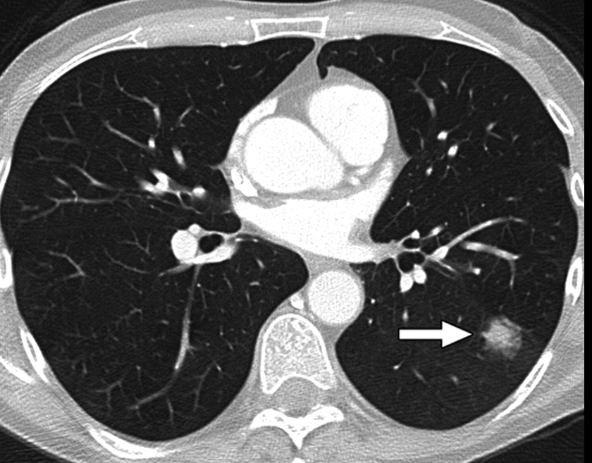
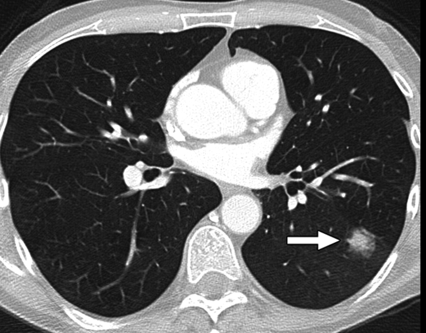
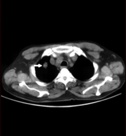
폐 편평세포암
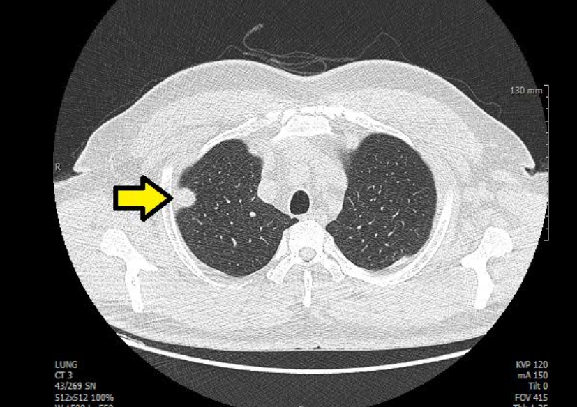
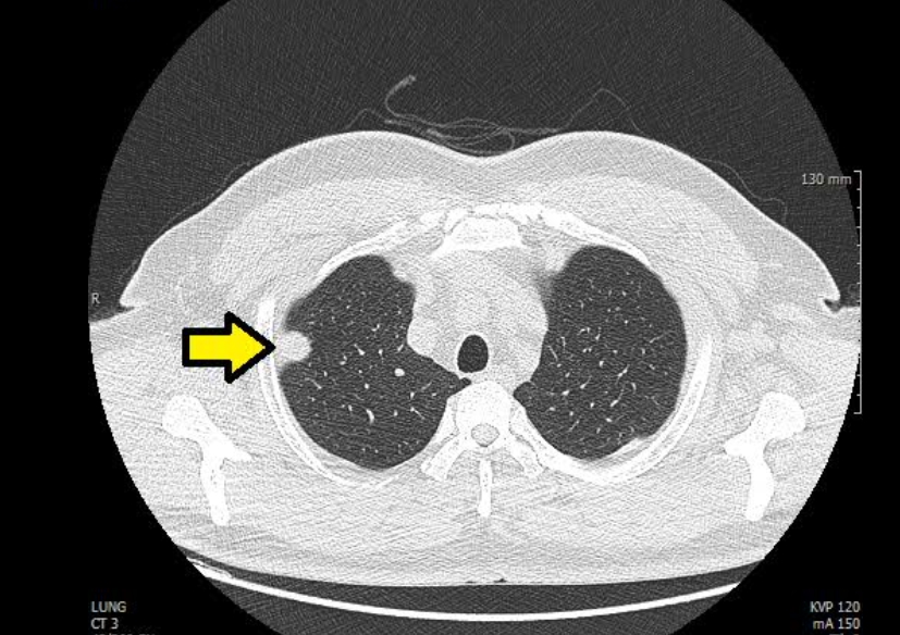
폐 편평세포암은 폐암의 한 유형으로, 주로 흡연과 관련이 있습니다. 기침이 3주 이상 지속되거나 피 섞인 가래, 숨이 차는 증상이 있으면 검사를 받아야 합니다. 흡연자는 비흡연자보다 편평세포암 발생 위험이 몇 배나 높습니다. 금연은 가장 강력한 예방책이며, 폐 건강을 지키는 가장 직접적인 방법입니다.
진단은 흉부 X선, CT, 기관지 내시경, 조직검사로 이뤄집니다. 치료는 수술, 방사선, 항암치료, 면역치료가 병합됩니다. 최근에는 맞춤형 치료제가 도입되어 생존율이 향상되고 있습니다.


Q&A 편평세포암 초기 증상과 종류
Q1. 편평세포암은 나이에 상관없이 생길 수 있나요?
A. 네, 연령과 상관없이 발생할 수 있습니다. 50세 이후에서 진단되는 경우가 많습니다. 이는 오랜 자외선 노출, 흡연, 면역력 저하 등 여러 요인이 오랜 세월 누적되면서 세포의 변형을 일으키기 때문이에요. 그러나 요즘은 젊은 세대에서도 장시간 햇빛에 노출되거나 인공자외선을 자주 사용하는 경우, 또 면역이 약해진 상태에서는 발생 위험이 높아지고 있습니다. 따라서 나이보다 생활습관과 피부 보호가 더 중요한 예방 기준이 됩니다.
Q2. 편평세포암은 전염되나요?
A. 편평세포암 자체는 전염되지 않습니다. 암은 세포의 변형으로 생기는 것이기 때문에 사람 간에 직접 옮겨가진 않아요. 자궁경부나 구강 부위의 편평세포암은 인유두종바이러스 감염과 관련이 있어, 그 바이러스가 전염될 수는 있습니다. 즉, 암이 전염되는 것이 아니라 감염으로 인한 위험이 존재한다는 뜻이에요. 성관계 시 안전수칙을 지키고, 백신을 접종하는 것이 이런 감염을 예방하는 방법입니다.
Q3. 편평세포암과 기저세포암의 차이는 무엇인가요?
A. 두 암 모두 피부암의 일종이지만, 생기는 세포와 진행 방식이 다릅니다. 편평세포암은 표피의 중간층에서 생겨 주변 조직으로 퍼질 수 있는 성향이 강하고, 전이 가능성이 있습니다. 반면 기저세포암은 피부의 가장 아래층에서 생기며 성장 속도가 느리고 전이는 드물어요. 겉보기에는 비슷할 수 있지만, 병리학적 특성과 치료 계획이 달라 정확한 조직검사가 필수입니다.
Q4. 편평세포암은 수술 후에도 재발할 수 있나요?
A. 네, 가능합니다. 수술로 완전히 제거하더라도 주변 세포에 미세한 암세포가 남아 있으면 재발할 수 있습니다. 재발은 보통 3년 이내에 나타나는 경우가 많으며, 같은 부위나 인근 부위에서 다시 생기기도 합니다. 따라서 수술 후에는 정기적으로 병원을 방문해 검사받는 것이 중요합니다. 피부암의 경우 6개월마다 검진을 받는 것이 좋고, 생활습관 관리로 면역을 유지하면 재발 가능성을 줄일 수 있습니다.
Q5. 편평세포암이 진행되면 몸에 어떤 변화가 생기나요?
A. 진행 단계에서는 병변이 커지고, 주변 피부가 붓거나 통증이 심해질 수 있습니다. 림프절로 전이되면 그 부위가 단단하게 만져지기도 하고, 멀리 폐나 간으로 퍼지면 피로감, 체중감소, 식욕저하 등의 전신 증상이 나타납니다. 피부암이라 하더라도 전신 질환처럼 영향을 미칠 수 있기 때문에, 작은 병변이라도 빠르게 치료해야 합니다. 병이 진행될수록 치료 범위가 넓어지고 회복 기간도 길어집니다.
Q6. 편평세포암 예방을 위해 매일 실천할 수 있는 습관은 무엇인가요?
A. 첫째는 햇빛을 피하는 겁니다. 외출 시 자외선 차단제를 바르고, 모자나 긴 소매 옷으로 피부를 가려주세요. 둘째는 금연이에요. 담배 연기는 폐뿐 아니라 피부세포에도 직접적인 자극을 줍니다. 셋째는 균형 잡힌 식사와 충분한 수면입니다. 비타민C와 항산화 성분이 풍부한 채소, 과일을 섭취하면 세포 손상을 줄일 수 있습니다. 그리고 몸의 작은 변화를 무심히 넘기지 않고 기록해두는 습관이 예방의 핵심이에요.


Q7. 편평세포암은 혈액검사로도 확인이 되나요?
A. 일반적인 혈액검사로는 확인이 어렵습니다. 편평세포암은 피부나 점막에서 발생하므로 조직검사를 통해 확진해야 합니다. 혈액검사는 전이 여부나 몸 상태를 파악하는 참고 자료로 사용됩니다. 영상검사나 피부 조직을 일부 떼어내 현미경으로 관찰해야 정확히 진단할 수 있습니다. 조기 발견을 위해서는 의심되는 병변이 있으면 직접 검사를 받는 것이 가장 확실한 방법입니다.
Q8. 편평세포암이 생기면 통증이 반드시 동반되나요?
A. 그렇지 않습니다. 초반에는 통증이 없는 경우가 대부분입니다. 상처처럼 보이지만 아프지 않고, 가렵거나 따가운 정도로 지나가기도 합니다. 그래서 흔히 습진이나 사마귀, 상처로 오해하죠. 하지만 시간이 지나면 병변이 커지고, 궤양처럼 깊어지면서 통증이 심해질 수 있습니다. 통증 여부로 암의 유무를 판단하기는 어렵기 때문에, 통증이 없어도 상처가 오래 낫지 않는다면 검사를 받아야 합니다.
Q9. 편평세포암 진단 후 생활에서 주의해야 할 점이 있나요?
A. 치료 중이거나 회복 중이라면 면역을 떨어뜨리는 행동은 피해야 합니다. 과도한 음주, 흡연, 수면 부족은 재발 위험을 높입니다. 상처 부위를 자주 만지거나 세게 문지르는 것도 좋지 않습니다. 햇빛 노출은 병변 부위의 회복을 방해하므로 외출 시에는 꼭 보호 조치를 해야 합니다. 또한 긍정적인 마음으로 일상생활을 유지하는 것도 회복에 큰 도움이 됩니다. 스트레스는 면역을 약하게 하므로, 적당한 운동과 휴식을 병행하는 게 좋습니다.
Q10. 편평세포암은 완치 후에도 평생 추적 검사가 필요한가요?
A. 완치 판정을 받았더라도 정기검진은 계속 필요합니다. 일반적으로 5년 동안 재발이 없으면 완치로 보지만, 이 기간 이후에도 새로 생길 가능성을 완전히 배제할 수는 없습니다. 암을 한 번 앓은 사람은 세포 변화에 더 민감하기 때문이에요. 초기에는 3~6개월마다, 이후에는 1년에 한 번 정도 정기검진을 받는 것이 좋습니다. 스스로도 거울을 보며 피부 상태를 확인하고, 의심되는 변화가 생기면 즉시 진료를 받는 습관이 필요합니다.
'과학적 정보에 감성을 더한 건강 이야기' 카테고리의 다른 글
| 공복 올리브유 효능 - 아침에 마셔야 하는 이유 (0) | 2025.11.06 |
|---|---|
| 체했을때 증상 - 바로 해야 할 행동 (0) | 2025.11.06 |
| 백반증 초기증상 - 자가면역의 경고 (0) | 2025.11.01 |
| 쪽파 심는시기 - 언제 심어야 맛있게 자랄까? (0) | 2025.10.28 |
| 식은 땀이 나고 어지러운 이유 (0) | 2025.10.21 |